Зв'яжіться з нами

Кейси

Кейс 5 “Імплантація”

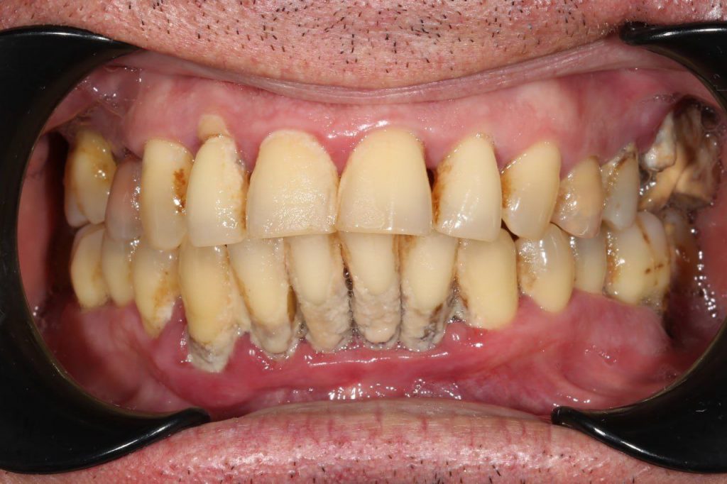
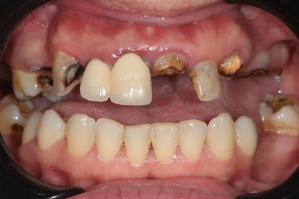
Фото: Володимир, 64 Послуга: Імплантація зубів Фото: Володимир, 64 Імплантація зубів у Dental3: Сучасне рішення для відновлення усмішки! Імплантація зубів – […]

Кейс 4 “Терапія”

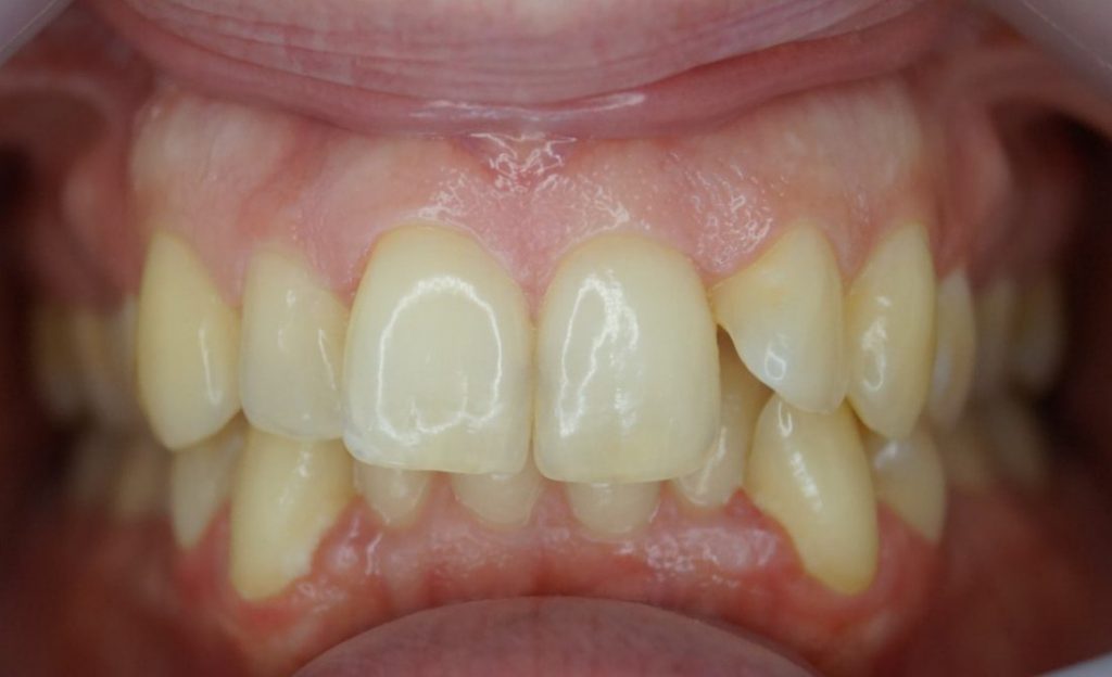
Фото: Катерина, 26 Композитна реставрація та лікування карієсу в стоматології Dental3 Композитна реставрація є сучасним методом відновлення естетики та функціональності

Кейс 3 “Пародонтологія”

Фото: Кирило, 56 Здорові ясна – запорука красивої усмішки та міцних зубів. У Dental3 ми пропонуємо широкий спектр пародонтологічних послуг,

Кейс 2 “Ортодонтія”

Фото: Іванна, 36 Вирівнювання зубів ніколи не було таким простим і непомітним, як із сучасними брекет-системами, доступними в Dental3. Наші

Кейс 1 “Протезування”

Фото: Олександра, 46 Діоксид цирконію – це міцний і довговічний матеріал, який стає все більш популярним для зубних коронок. У

Популярні запити

Лікування карієсу

Консультація хірурга-імплантолога

Консультація стоматолога-терапевта

Записатись онлайн