
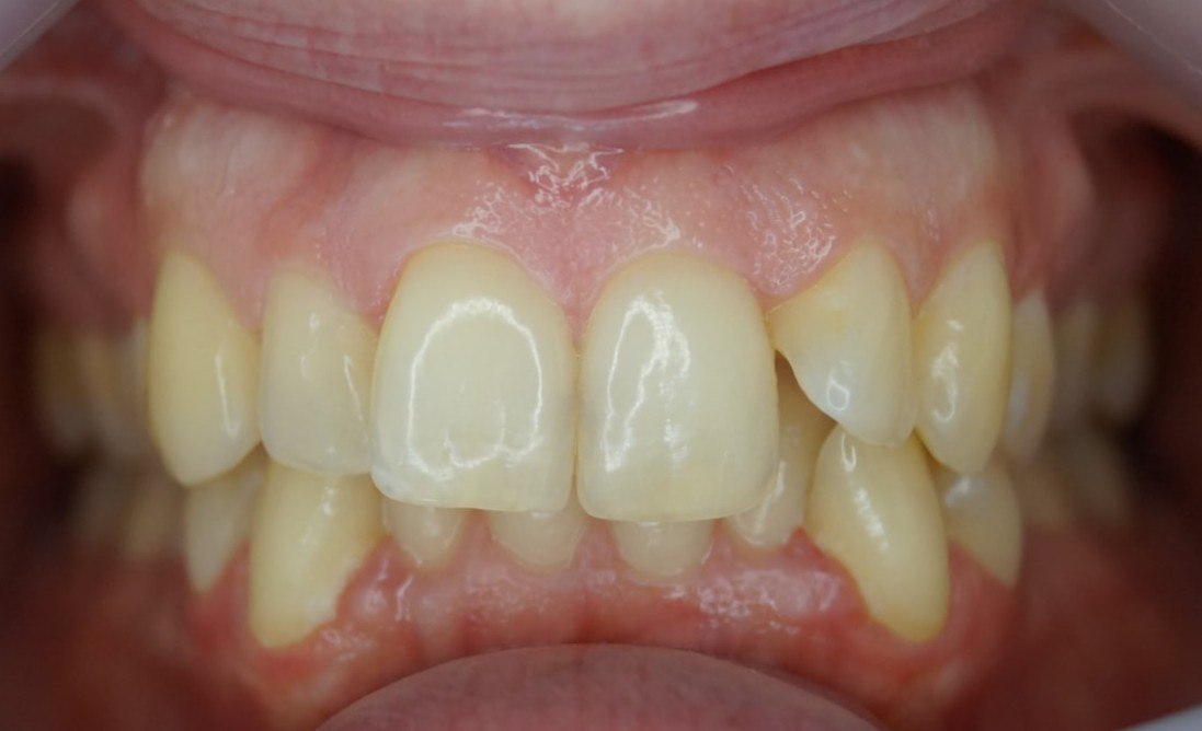
Рівні зуби – це не тільки естетика, а й здоров’я. Неправильний прикус може призводити до підвищеного зношування зубів, проблем із жуванням та мовленням. У клініці Dental3 застосовують сучасні методи ортодонтичного лікування, які допомагають виправити будь-які порушення прикусу.
Коли варто звернутися до ортодонта?
🔹 Кривизна зубів або неправильне їх розташування
🔹 Зміщення щелепи або проблеми з прикусом
🔹 Скупченість зубів
🔹 Відчуття дискомфорту при жуванні
🔹 Бруксизм (скрегіт зубами)
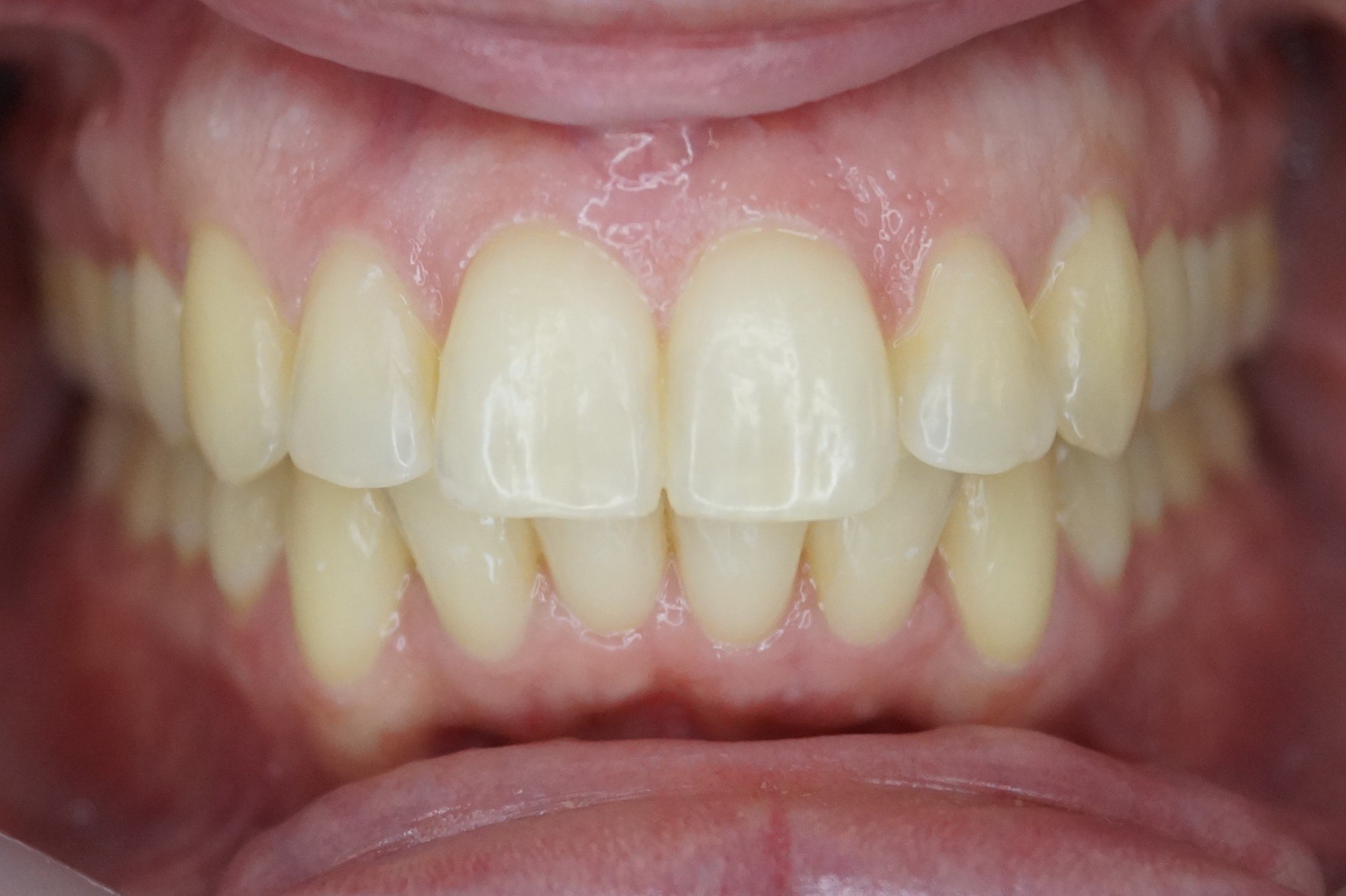
Методи виправлення прикусу у Dental3:
✅ Брекет-системи – ефективний спосіб вирівнювання зубів. У нас доступні металеві, керамічні, сапфірові та лінгвальні брекети.
✅ Елайнери – прозорі капи для виправлення прикусу, які майже непомітні на зубах.
✅ Ортодонтичні пластинки – підходять для дітей та підлітків, допомагають у корекції прикусу.
Фахівці Dental3 підбирають індивідуальну методику лікування для кожного пацієнта, забезпечуючи швидкий та комфортний результат!